
Правильное выполнение операции значительно улучшает качество жизни таких пациентов: уходит боль, улучшается походка и даже полностью нивелируется хромота. Однако многое зависит от течения восстановительного периода и осознанности пациента, насколько он готов соблюдать все назначения ортопедов и реабилитологов», — говорит Вадим Витальевич.

Это результат стал возможным благодаря взаимодействию ученых-онкологов НМИЦ им.ак. Е.Н.Мешалкина и резидента новосибирского Академпарка при содействии Правительства НСО.

Операция прошла успешно. Рядом с хирургами находились инженеры-разработчики, чтобы консультировать особенности конструкции. В имплантации подобных конструкций нуждаются сотни пациентов.

«Теперь я наконец могу в полную силу пожать руку пациенту, и не только в знак уважения к его стойкости, но и чтобы убедиться: мы пришли к цели» — говорит доктор Жеравин.

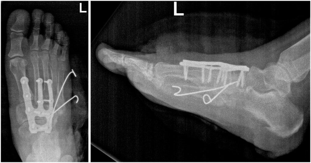
Персонализированный подход к лечению пациентов — важнейший принцип в работе врачей Новосибирского НИИ травматологии и ортопедии. Детальное планирование позволяет учесть все нюансы деформации, снизить риски осложнений, а также добиться большей эффективности операции.

Как он помогает создать с нуля сверхуспешный бизнес и продвигать на рынке отечественные разработки?

Медики отмечают, что благодаря созданию инфраструктуры по онкологической помощи детям и внедрению современных технологий в более чем 80% случаев детский рак отступает.

Новый подход позволяет заранее, до удаления опухоли, подготовить индивидуальный заместительный имплантат.

Специалисты Центра имени Димы Рогачева разработали и уже успешно применяют уникальный костный протез для детей.
Мы открыты интересным проектам и хотим, чтобы как можно больше врачей и пациентов узнали,
что высокотехнологичные решения и лучшие результаты операций — это доступно.
Отправьте ваше предложение на ms@logeeks.ru